Dental Art - Copou
Persoana de contact: Dr. Ana Ulbert
Adresa: Copou, Bd.Carol I, Nr. 32,Bl. B4, Parter (vis-a-vis de Centrul Gaudeamus)
Judet/Localitate: Iasi/ Iasi
Telefon/fax: 07417563650741756365
Website: https://www.dentalartestetics.com/
17.450 persoane au fost interesate de acest anunt.

Program de lucru
LUNI-VINERI: 8-20
Pt urgente : 0741 756 365
Dental Art - arta zambetului tau...
Din pasiune pentru zambet si prin bogata experienta a echipei de medici a luat nastere Cabinetul Stomatologic Dental Art.
Dotat cu aparatura de ultima generatie si folosind materiale performante vine in intampinarea pacientilor cu tratamente de cea mai buna calitate la preturi accesibile.
Cabinetul este situat intr-o zona boema a Iasiului, pe bulevardul Copou, vis-a-vis de Centrul Gaudeamus cu acces usor si buna vizibilitate, locuri de parcare dar si acces citeste tot
facil cu mijloacele de transport in comun. Zona este foarte populata, avand Universitatea Al. I. Cuza in apropiere dar si caminele studentesti.
Cabinetul Stomatologic Dental Art este cunoscut pentru serviciile sale de calitate, pentru ambientul placut si relaxant, dar mai ales prin personalul medical al acestuia. Acest lucru este certificat de recenziile pozitive postate in spatiul online de catre pacientii care au beneficiat de serviciile Dental Art.
Echipa medicala vine in intampinarea pacientilor cu solutii din toate domeniile medicinei dentare: implantologie, estetica dentara, chirurgie dento-alveolara, endodontie, protetica, pedodontie, tratand astfel pacienti de orice varsta.
Pentru sanatatea pacientilor dar si a echipei de medici se respecta cu cea mai mare strictete normele de sterilizare. Astfel se investeste foarte mult in substante de dezinfectare si in aparatura de sterilizare de inalta clasa ce monitorizeaza ciclurile de sterilizare, imprimand parametrii acestora.
In vederea realizarii lucrarilor protetice de cea mai mare fidelitate, estetica si functionalitate, Cabinetul Dental Art colaboreaza cu laboratoare de tehnica dentara de prestigiu ce folosesc tehnici computerizate CAD-CAM.
Dr. Ana Ulbert - implantologie, estetica dentara, cariologie, profilaxie, protetica, pedodontie, endodontie
Dr. Silviu Sturzu - estetica dentara, cariologie, profilaxie, protetica, pedodontie, endodontie
Dr. Adina Sturzu - estetica dentara, cariologie, profilaxie, protetica, pedodontie, endodontie
Dr. Ionut Horgot - rezident chirurgie maxilofaciala, stomatologie generala.
Dr. Iasmina Hari - stomatologie generala, pedodontie.
Dr. Marius Strugaru - chirurgie maxilofaciala, implantologie
Dr. Gabriela citeste tot
Budacu - ortodontie
Sigilare dentara copii Iasi - Dental Art
Sigilarea dentară pentru copii, realizată în cadrul cabinetului Dental Art din Iași, este o metodă eficientă și sigură de prevenire a cariilor. Procedura constă în aplicarea unui strat protector pe suprafața molarilor, zone predispuse la a...
Urgente stomatologice Iasi - Dental Art
Urgențe stomatologice în Iași – Dental Art La Dental Art din Iași, intervenim prompt în situații de urgență dentară, pentru a vă reda confortul și siguranța cât mai rapid posibil. Indiferent că este vorba despre durere acută, infe...
Card cadou stomatologie Iasi
Ofera un card cadou unei persoane dragi, arata-i aprecierea si dragostea prin clipe de sanatate ce-i vor insenina ziua. Acum este mai usor ca oricand sa surprinzi cu un cadou minunat - card cadou stomatologic! Cardurile Cadou pot fi folos...
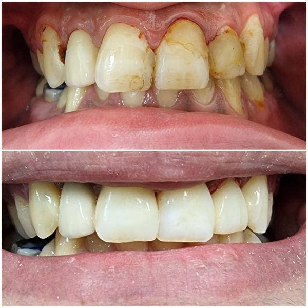
Coroana ceramica pe suport zirconiu in Iasi la 650 lei in loc de 950 lei ( 31% reducere)
Coroana ceramica pe suport zirconiu, executata prin tehnologie computerizata de scanare si frezare CAD-CAM la 650 lei in loc de 950 lei ( 31% reducere) Tel: 0744 756 365...
Consultatie stomatologica gratuita
Consultatie gratuita Plan de tratament gratuit Control periodic gratuit Plata in rate fara dobanda...







Ati folosit serviciile acestui cabinet/clinica ?