ALEXANDRA RUSU-Medic Stomatolog
Persoana de contact: Alexandra Rusu
Adresa: Andrei Muresanu, nr.67, Sc.C, Ap.44
Judet/Localitate: Bistrita/ Bistrita
Telefon/fax: 07463489760746348976
Website: https://www.facebook.com/Dentist-Stomatolog-Bistrita-390200897817827/?ref=bookmarks,
5.064 persoane au fost interesate de acest anunt.
Program de lucru
Luni-Marti-Miercuri-Joi-Vineri-Sambata
Pentru programari va rugam sunati.
Folosim materiale si instrumente de ultima ora, consumabile de unica folosinta. Cabinetul nostru respecta normele U.E. cu privire la sterilizare, calitatea materialelor si a serviciilor efectuate.
Stomatologia din ziua de astazi poate garanta tratamentul fara durere, iar noi dispunem de materialele si aparatura adecvata si nu in ultimul rand, de timpul si rabdarea necesara. Stim sa comunicam cu dumneavoastra, sa va expunem situatia clinica reala si un plan de tratament adecvat. Pacientul are putere citeste tot
de decizie asupra variantei de tratament, in cunostinta de cauza.
Deoarece cunoastem cat de importante sunt pentru dvs. serviciile de calitate, costurile in raport cu calitatea, asigurarea unor servicii profesionale si rezolvarea problemelor ce tin de sanatate, incercam sa va punem la dispozitie toata experienta noastra.
Abordarea cazului fiecarui pacient se face raportand situatia clinica stomatologica la starea generala de sanatate.
Deoarece cunoastem cat de importante sunt pentru dumneavoastra serviciile de calitate, costurile in raport cu calitatea, asigurarea unor servicii profesionale si rezolvarea problemelor ce tin de sanatate, incercam sa va punem la dispozitie toata experienta noastra. Ele sunt arhivate computerizat printr-un program specific de management stomatologic. Avem colaborare cu laboratoare de tehnica dentara care acopera toata sfera manoperelor terapeutice cat si cerintele tehnice de realizare a diverselor lucrari.
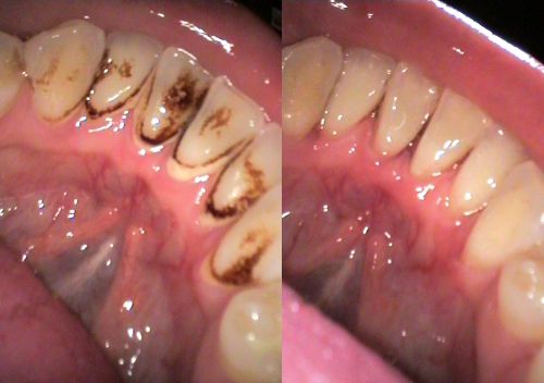
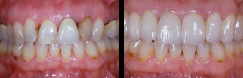
Consultatie+detartraj+periaj+airflow la numai 50RON
Va oferim un pachet de consultatie, plan de tratament, detartraj,periaj profesional si airflow la numai 50 RON in loc de 150 RON. Oferta de albire dentara este valabila numai luna Aprilie. Pentru detalii va rugam sa sunati la numarul de telefon...
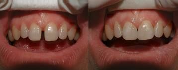
Consultatie gratuita Bistrita Dr.Alexandra Rusu
Consultatie stomatologica gratuita Bistrita. Abordarea cazului fiecarui pacient se face raportand situatia clinica stomatologica la starea generala de sanatate de accea oferim consultatia stomatologica gratuit. ...





Ati folosit serviciile acestui cabinet/clinica ?